Nossas Especialidades

A ciência da beleza em sua forma mais pura.

Protocolos exclusivos que unem tecnologia de ponta e um olhar artístico para realçar sua essência com naturalidade e sofisticação.

Harmonização Facial

Harmonização Facial Advanced

flare

Um estudo anatômico profundo de cada face. Utilizamos preenchedores de última geração para restaurar volumes perdidos e realçar contornos, mantendo a mímica facial preservada e elegante.

Saiba mais
Bioestimuladores

Bioestimuladores de Colágeno

Tratamento regenerativo que estimula a produção natural de fibras de sustentação da pele.

Popular • Regeneração
face_6

Botox Prevent & Repair

Aplicação técnica para suavizar rugas de expressão e prevenir marcas profundas, com foco no "natural look".

Explorar técnica arrow_forward
Ultraformer III

Ultraformer III

Ultrassom micro e macrofocado para lifting facial sem cortes e redução de gordura localizada.

calendar_month

Plano Personalizado

Cada pele é única. Agende uma avaliação global para um protocolo exclusivo.

Agendar Agora
Procedimentos Corporais
Bem-estar Integral

Esculpa suas curvas com tecnologia e arte.

check

Lipo Sem Cortes

Protocolos não invasivos para redução de gordura localizada e celulite.

check

Firmeza Corporal

Tratamentos focados em flacidez com tecnologias de radiofrequência.

check

Drenagem Detox Luxury

Métodos exclusivos para eliminação de toxinas e relaxamento profundo.

Resultados Reais

Veja a transformação em cada procedimento

Resultados comprovados que falam por si só. Conheça os tratamentos que posso realizar para você.

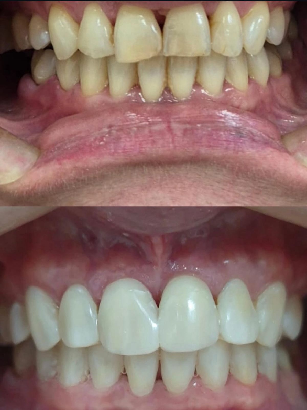
Clareamento Dental

Procedimento de oxidação que remove pigmentações e deixa o sorriso radiante.

Antes Clareamento Dental - Antes
Depois Clareamento Dental - Depois

Harmonização Facial

Preenchedores de última geração que restabelecem volumes e definem contornos.

Resultado Harmonização Facial - Resultado

Implante Dentário

Reabilitação protética que restaura a funcionalidade e estética do sorriso.

Resultado Implante Dentário - Resultado

Redução de Olheiras

Preenchimento estratégico que minimiza olheiras e rejuvenesce o olhar.

Resultado Redução de Olheiras - Resultado

Transformação do Sorriso

Uma combinação de tratamentos pode transformar completamente o sorriso e a autoconfiança do paciente. Este resultado foi alcançado com protocolo personalizado.

Agendar Avaliação
Antes Sorriso - Antes
Depois Sorriso - Depois